유방초음파 검사 비용 및 건강보험 적용 받는 방법
- 카테고리 없음
- 2023. 10. 24. 23:00
2021년 4월 1일부터 유방초음파 검사도 건강보험 적용이 가능해졌습니다. 요즘 유방암 환자가 많이 증가함에 따라 유방 초음파 검사받는 분들이 많아지는 추세입니다. 유방초음파 검사는 가슴에 통증이 있으면, 바로바로 확인하러 가셔야 합니다.
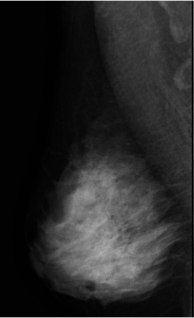
우리나라 여성분들에게 가장 많이 발생하는 암 발병률 1위 유방암. 질환 예방을 위해 선제 검사가 꼭 필요하며, 증상이 있을 시 유방초음파 검사를 받고 비용이 부담되는 부분이니 꼭 건강보험 혜택 챙기시길 바라며 포스팅 시작합니다.

유방암 검사비용
유방암 검사 비용은 보통 유방촬영(영산 진단)과 유방초음파(초음파 진료) 두 가지입니다.
유방 영상진단비용은 보통 본인 부담금 1만 원대에서 + 공단에서 1.5만 원을 부담합니다.
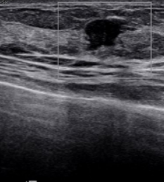
유방초음파는 초음파 검사 시 병원마다 약간의 차이가 있지만 기본 10만 원부터 시작하며 보험 미적용 대상입니다.
하지만 초음파 검사 비용에 건강보험을 적용할 시 약 4~8만 원 정도만 내면 됩니다.(60% 수준 감경) 정확한 금액은 의료기관별로 다릅니다.


유방암 초음파 검사 건강보험 적용
검사할 때 건강보험 혜택이 적용되는 기준은 따로 있습니다. 우선 가장 보편적으로 사용하는 흑백 영상 초음파 장비는 건강보험이 적용됩니다. 단, 진단 결과에 따라서 양성이냐 악성이냐 여부에 따라 최종 결정됩니다.
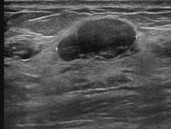
진료의사의 의학 판단에 따라 유방'액와부, 흉벽, 흉막, 늑골 부위에 질환이 의심되거나 이미 갖고 있는 질환으로 인해 경과 관찰이 필요한 경우 의사가 직접 시행한 초음파 검사에 한해 건강보험 적용이 됩니다.


적용대상
1. 양성종양(섬유선종 등등), 비증식성 및 증식성 병변
2. 유방'액와부 질환이 의심돼, 진료 의사의 의학적 판단에 따라 진단이 필요하다 결정될 때
3. 유방 영상진단 검사 시 미세석회화나 멍울 등 이상 소견이 있는 경우
비적용대상
1. 의학적 진단 시 불명확한 경우, 진료의사가 설명 후 환자가 동의서에 서명하면 비급여로 실시합니다.
2. 환자가 자기 주관에 따라 유방통, 멍울 감을 호소하지만 진료의사가 유방암이나 유방질환이 의심되지 않는다고 판단한 경우에 실시하는 유방'액화부 초음파 검사는 비급여 대상입니다.
3. 치밀 유방 등 소견이 있지만, 유방질환이 의심되는 다른 특별한 증상이나 검사상 이상 소견이 없는 경우.
4. 의사가 의학적으로 추적이 불필요하다고 판단되는 양성질환 추적 초음파 검사인 경우.
5.마지막으로 유방암이나 양성 질환 진단 목적이 아닌 가슴보형물 파손이나 이상 유무를 확인하는 목적으로 진행하는 유방 초음파 검사도 건강보험이 적용되지 않으며, 의사 권유로 진행한 유방 초음파 검사가 아닌 건강검진을 위한 목적이라면 유방 초음파 검사 건강보험 적용이 되지 않는다고 알아두시면 될 것 같습니다.
이상으로 유방암 초음파 검사 비용과 적용대상인지 아닌지에 대한 설명을 마치겠습니다. 유방암 관련 궁금 사항은 글 본문에 있으니 확인 하시길 바라겠습니다.